Kraakbeenschade, vaak veroorzaakt door blessures of slijtage, kan leiden tot aanzienlijke pijn, stijfheid en beperking van de bewegingsvrijheid. Omdat kraakbeen zichzelf niet kan herstellen, wenden veel patiënten zich tot chirurgische ingrepen. Een veelbelovende nieuwe behandelmethode maakt gebruik van stamcellen, afkomstig van donoren, in combinatie met de eigen gezonde kraakbeencellen van de patiënt, om kraakbeendefecten te herstellen en de functie van het gewricht te verbeteren.
De Uitdaging van Kraakbeenschade
Jaarlijks komen duizenden patiënten met kraakbeendefecten in de knie in aanmerking voor chirurgie. Traditionele behandelingen voor grotere defecten, zoals autologe chondrocyte implantatie (ACI), vereisen meerdere operaties. Bij ACI worden eerst gezonde kraakbeencellen van de patiënt verzameld, in een laboratorium vermenigvuldigd en vervolgens tijdens een tweede operatie teruggeplaatst. Deze methode is echter kostbaar en de beschikbaarheid van gespecialiseerde laboratoria kan een beperking vormen.

De IMPACT-methode: Stamcellen als Katalysator
Professor Daniël Saris van de Mayo Clinic en het UMC Utrecht heeft een innovatieve behandelmethode ontwikkeld, de IMPACT-methode, die deze uitdagingen aanpakt. Deze methode maakt gebruik van mesenchymale stamcellen (MSC's) van donoren. In één enkele operatie worden deze stamcellen, samen met de eigen kraakbeencellen van de patiënt, aangebracht op de plaats van het kraakbeendefect. Het idee is dat de stamcellen, door middel van groeifactoren, de kraakbeencellen stimuleren om ter plaatse uit te groeien en het defect te herstellen.
De IMPACT-methode is aanzienlijk kosteneffectiever dan de eerdere ACI-methode, mede doordat donorstamcellen in grote hoeveelheden kunnen worden opgekweekt. Mesenchymale stamcellen, ook bekend als mesenchymale stromale cellen (MSC's), zijn jonge cellen met het vermogen zich te ontwikkelen tot verschillende weefseltypen, waaronder bot, vetweefsel en kraakbeen. Ze worden doorgaans gewonnen uit beenmerg van donoren.
Klinische Resultaten en Toekomstperspectieven
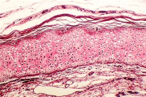
In een klinische trial met 35 patiënten tussen 18 en 45 jaar, uitgevoerd door Saris en collega's van het UMC Utrecht, toonde de IMPACT-methode veelbelovende resultaten. Er werden geen complicaties waargenomen, en 32 van de 35 patiënten hadden vijf jaar na de behandeling nog steeds baat. Patiënttevredenheid was hoog, met 92% die de behandeling zou herhalen. Microscopisch onderzoek van het nieuwe kraakbeen na een jaar liet een goede kwaliteit zien, hoewel het enigszins afweek van normaal kraakbeen. De kraakbeencellen bleken afkomstig te zijn van de patiënt zelf.

De trial wordt momenteel herhaald aan de Mayo Clinic in de Verenigde Staten, met een focus op donorstamcellen uit vetweefsel, met als doel goedkeuring door de Food and Drug Administration (FDA). In Nederland loopt een gerandomiseerde klinische trial die de IMPACT-methode vergelijkt met standaardbehandelingen zoals fysiotherapie en pijnstilling. Deze studies, mede gefinancierd door ZonMw, zijn cruciaal voor de opname van de behandeling in richtlijnen en de mogelijke uitbreiding naar andere gewrichten zoals pols en heup.
Alternatieve Benaderingen en Onderzoek
Onderzoek door promovenda Nicole Georgi aan de Universiteit Twente richt zich op het verbeteren van de kwaliteit van kraakbeenweefsel door het combineren van mesenchymale stamcellen (MSC's) met chondrocyten (kraakbeencellen) en het kweken onder lage zuurstofspanning, wat de natuurlijke omstandigheden in kraakbeen nabootst. Dit onderzoek suggereert dat een enkele operatie, waarbij stamcellen uit beenmerg worden gecombineerd met chondrocyten en direct worden teruggeplaatst, in de toekomst mogelijk is. Het bedrijf CelCoTec voert hierover klinische trials uit.
Dr. Jeroen Leijten van de Universiteit Twente onderzoekt hoe stamcellen met ontstekingsremmende eigenschappen de balans tussen afbraak en opbouw van gewrichtsweefsel bij artrose kunnen herstellen. Hoewel artrose momenteel nog geen geschikte indicatie is voor de IMPACT-methode, biedt dit onderzoek hoop voor toekomstige behandelingen.
Belangrijke Overwegingen bij Stamceltherapie
Met de groeiende aandacht voor stamceltherapie is het cruciaal om geïnformeerde beslissingen te nemen. De International Society for Stem Cell Research biedt richtlijnen om misleidende informatie te herkennen en de veiligheid en werkzaamheid van behandelingen te beoordelen. Belangrijke aandachtspunten zijn:
- Goedkeuring door regelgevende instanties: Ga na of de behandeling is goedgekeurd door instanties zoals de EMA of deel uitmaakt van een geregistreerde klinische studie.
- Onderbouwing met wetenschappelijke gegevens: Wees voorzichtig met behandelingen die enkel gebaseerd zijn op anekdotisch bewijs.
- Risico's van onbewezen behandelingen: Deze kunnen variëren van infecties en tumoren tot financiële en persoonlijke verliezen, en kunnen toekomstige behandelopties beperken.
- Weefselspecifieke stamcellen: Stamcellen zijn vaak specifiek voor bepaalde weefsels en niet zomaar voor diverse aandoeningen inzetbaar.
- Hergeprogrammeerde stamcellen: Hoewel veelbelovend, vereisen 'pluripotente stamcellen' zorgvuldige instructies om tumoren te voorkomen.
- Begrip van de aandoening: Een goed begrip van de ziekte en de stamceltherapie is essentieel.
- Risico's van autologe transplantaties: Hoewel het immuunsysteem de eigen cellen niet afstoot, zijn er risico's verbonden aan het verkrijgen, kweken en transplanteren van cellen.
- Objectieve resultaten: Wees alert op klinieken die enkel vertrouwen op getuigenissen van patiënten in plaats van wetenschappelijk bewijs.
- Klinische studies: Verantwoorde klinische studies bouwen voort op wetenschappelijke kennis, worden onafhankelijk getoetst en zijn kosteloos voor deelnemers.
- Wetenschappelijk proces: Pas op voor klinieken die het geaccepteerde wetenschappelijke proces omzeilen.
Stamcellen
Navelstrengbloed: Een Waardevolle Bron
Naast beenmerg en vetweefsel, kan navelstrengbloed een waardevolle bron van stamcellen zijn. Dit bloed, afkomstig van pasgeboren baby's, bevat een hoog aantal bloedvormende stamcellen die gebruikt kunnen worden voor stamceltransplantaties bij ernstige aandoeningen. De Navelstrengbloedbank van Sanquin slaat deze cellen op voor patiënten die een match vinden op basis van HLA-typering. Deze stamcellen zijn 'naïever' en daardoor makkelijker te matchen dan die van volwassen donoren.
Het doneren van navelstrengbloed is een pijnloze procedure die plaatsvindt na de geboorte van de baby en voor de geboorte van de placenta, in samenwerking met speciaal getraind medisch personeel. Dit proces brengt geen enkel risico met zich mee voor moeder of kind.
Bioprinting: De Toekomst van Weefselvervanging
De ontwikkeling van bioprinting, het 3D-printen van weefsels, biedt nieuwe mogelijkheden voor weefselvervanging. Onderzoekers in Utrecht, als onderdeel van Regenerative Medicine Utrecht (RMU), werken aan projecten om weefsels te printen voor diverse toepassingen, waaronder kraakbeenherstel (LUMINATE-project), plasbuisdefecten (STRONG-UR-project), hoornvliezen (Keratoprinter-project) en leverweefsel (NEOLIVER-project). Deze technologie streeft ernaar om op termijn weefsels te creëren die de structuur en functie van natuurlijk weefsel nabootsen, wat kan leiden tot betere behandelingsresultaten en het vermijden van orgaantransplantaties.

tags: #stamcellen #placenta #voor #kraakbeen